Février 2020
Pneumocystis jirovecii
REGNE : Fungi
PHYLUM : Dikarya, Ascomycota, Pezizomycotina
CLASSE : Pneumocystidomycètes
ORDRE : Pneumocystidales
FAMILLE : Pneumocystidaceae
Le genre Pneumocystis désigne un groupe de micromycètes spécifiques de leurs mammifères hôtes, Pneumocystis jirovecii (P. jirovecii) étant retrouvé chez l’Homme. Ces champignons sont atypiques parce qu’ils :
- ne peuvent pas être cultivés en routine actuellement,
- ne sont pas sensibles aux antifongiques azolés et à l’amphotéricine B en raison de l’absence d’ergostérol dans leur membrane cytoplasmique.
- sont des parasites obligatoires alors qu’aucune niche écologique environnementale n’a pour l’instant été caractérisée.
Pneumocystis jirovecii détermine une infection pulmonaire sévère ou pneumonie à Pneumocystis (PPC). Les populations à risque sont les patients infectés par le VIH et les patients cancéreux, greffés, transplantés, bénéficiant de biothérapie ou d’une corticothérapie (> 15-20 mg/j, > 1 mois). La PPC demeure l’infection opportuniste la plus fréquente classant les patients VIH+ au stade SIDA en France métropolitaine avec environ 400 cas déclarés par an à Santé Publique France. Parallèlement, l’incidence de la PPC chez les autres patients immunodéprimés est en augmentation. L’incidence de la PPC au niveau mondial est estimée à 400 000 cas par an.
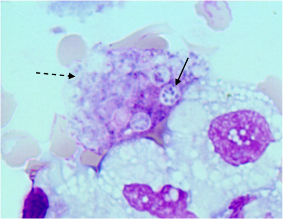
Les Pneumocystis présentent une multiplication asexuée par fission binaire des formes trophiques et une reproduction sexuée conduisant à la formation d’asques (Figure 1). Le diagnostic de la PPC repose sur l’examen microscopique d’un lavage broncho-alvéolaire de bonne qualité cellulaire. La coloration au May-Grünwald Giemsa (Figure 1) permet d’observer les formes trophiques et les ascospores contenues dans les asques dont la paroi n’est pas colorée. Les colorations au bleu de toluidine (Figure 2), argentiques (Gomori-Grocott, Musto) ou aux dérivés du stilbène (calcofluor white, UVITEX® 2B, UVIBIO®) permettent d’observer les asques.
Pneumocystis jirovecii s’acquiert et se transmet sur un mode interindividuel par voie aérienne. Il s’agit d’un fait unique dans le domaine de la mycologie médicale. L’acquisition de P. jirovecii se fait essentiellement au niveau communautaire, mais peut survenir également dans un contexte d’infections nosocomiales.
Le traitement et la chimioprophylaxie de la PPC reposent essentiellement sur l’association sulfaméthoxazole-triméthoprime. La prévention de l’acquisition nosocomiale repose a minima sur l’isolement des patients infectés en chambre individuelle. Des précautions complémentaires de type gouttelette ou air peuvent être mises en place.


Pour plus d’informations, consulter :
Le Gal S, Damiani C, Totet A, Nevez G. Pneumocystis : diagnostic biologique des infections à Pneumocystis jirovecii. EMC Biologie Médicale 2012; doi: 10.1016/S2211-9698(12)53929.
Hauser PM. Genomic Insights into the Fungal Pathogens of the Genus Pneumocystis: Obligate Biotrophs of Humans and Other Mammals. Plos Pathog 2014; 10(11): e1004425.
Gilles Nevez et Solène Le Gal
(Groupe d’Etude des Interactions Hôte-Pathogène – GEIHP, Université d’Angers, Université de Brest)